person in black and white plaid shirt

What's new with me? Well, that would be .... pneumonia!

Yep, I have pneumonia. Yesterday was a wild afternoon of trying to get all of the medical testing done to find out why I'm wheezing and gasping for breath.

MEDICAL JOURNEY

12/18/20252 min read

Because I feel rotten, I'm going to make this short-ish.

Day before yesterday I noticed that I was really gasping for breath after going downstairs and coming back up. And then during the night I heard wheezing I'd not been hearing when I breathe.

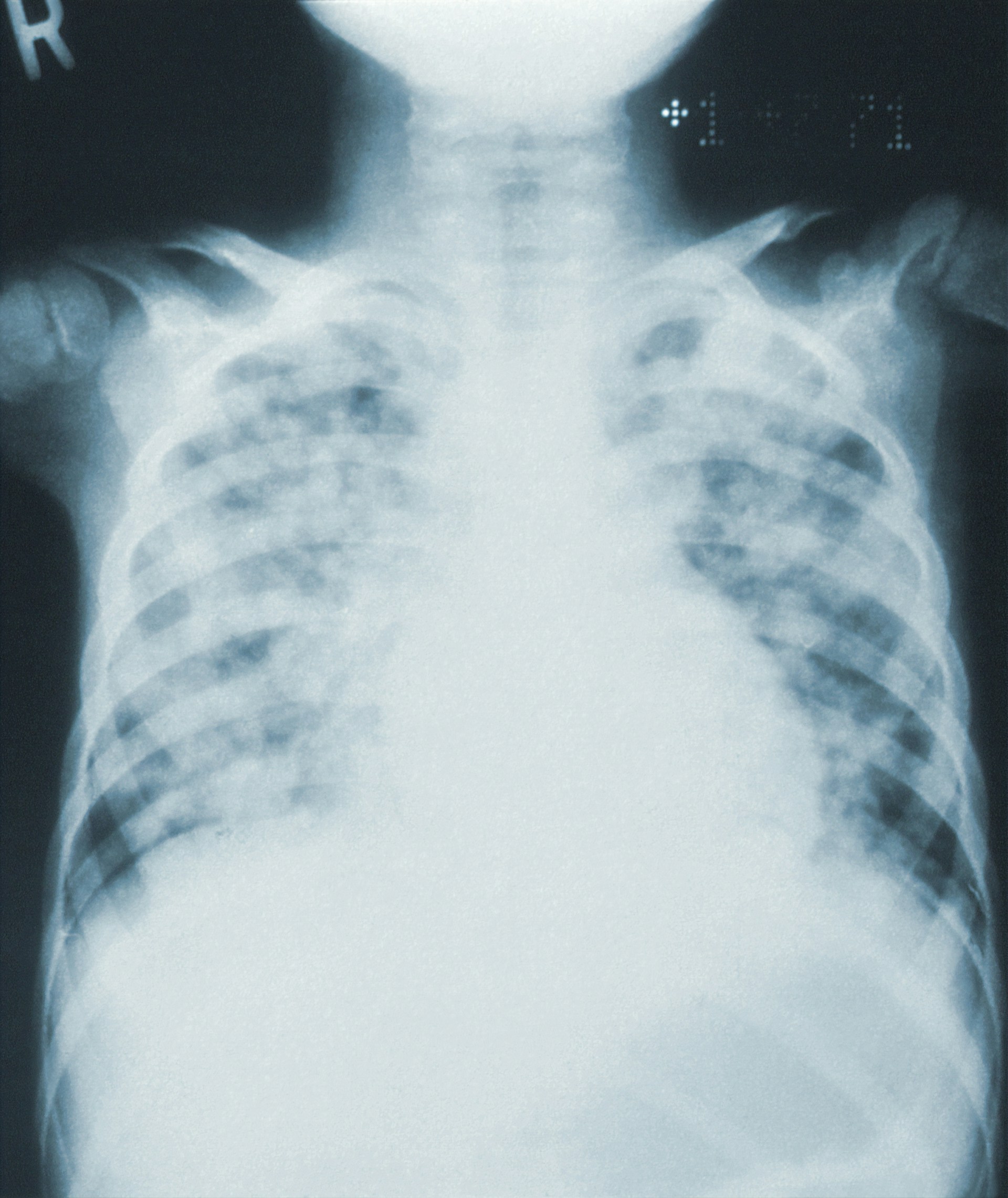
So I contacted my oncology team through the portal, and my oncologist said to go to my primary care doc and get covid and flu testing along with an EKG and chest X-ray.

Well, you know it's not easy to see your PCP on short notice. But luckily my PCP has just hired a new physician's assistant (PA), and because he's new, there was an opening at 3:30. One of my friends was available on short notice to take me.

I was pleasantly surprised that my PCP office had an EKG machine, so I managed to knock out the covid and flu testing and EKG in one place. Both covid and flu were negative, and the EKG looked fine. But the PA did hear some fluid in my lungs and gave me an order to get a chest x-ray.

And luckily again the imaging center wasn't far away, and I squeaked in as the next-to-last patient they took for the day. So I got the chest x-ray completed.

I felt rotten all night and didn't sleep well, but I made myself get up a little early because I knew medical folks would be looking at imaging, and I needed to be available.

The first notification I got, though, was from my pharmacy saying a prescription was ready.

Since I hadn't heard from the PA, I called to find out what the prescription was.

An antibiotic. So that likely meant pneumonia. BUT it's an antibiotic I couldn't take in the past because the side effects were too rough on me.

Next I got a message from the PA through that portal, and that was the x-ray results. I typically don't look at results because I don't know the medical terminology and often think things are worse than they actually are. I did read this one, and sure enough it worried me.

I sent those x-ray results to my oncologist.

The antibiotics clued me in that I needed to get the process moving because I need to get started fighting this infection. It was a long morning of messages through the two portals, talking with folks on the phone, talking with the pharmacy—trying to get a prescription that maybe I can tolerate. I had a dozen messages and answers and four or five phone calls. Because I was so tired I'd doze off for a few minutes and then wake to see what new message had come in.

Finally I ended up with two different antibiotic prescriptions. And now I'm waiting for the one from my oncologist to arrive at my pharmacy from a "sister store" because my pharmacy didn't have it on hand. I'm going to get both antibiotics in case I have trouble with one. I've had good luck with a Z pack. That will be my backup one.

It's been a busy and draining couple of days trying to find out what's causing the gasping for air and wheezing and then getting a med to help get rid of the cause.

I just called the pharmacy again since it's getting to be late afternoon. And they said they got that prescription filled a few minutes ago. My very kind neighbor is fetching it so I can get that antibiotic in my system stat.

I'm sitting here wheezing and worrying. Please send up a prayer and/or send some good vibes to me that I can tolerate this first antibiotic and that it does its job to knock out this pneumonia.

Thus ends my "short-ish" post.

That's my "pnue" news.

And I'm hoping to be beyond that "pneu" soon!!